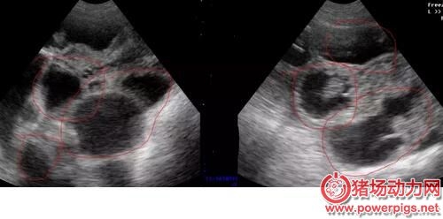
配完種之后要做的事情是什么? 肯定是檢查母豬是否妊娠啦..... 那么問題來了,到底什么時候檢查妊娠最為合適? 按理來說,早檢查可以盡快把沒有懷孕的母豬查找出來,而晚檢查可以盡可能把早期胚胎死亡的母豬也查找出來。 其實最好的策略是從輸精后第18天開始就用公豬來檢查母豬是否返情。隨后從第21天開始,第三周、第四周連續做兩次妊娠掃描診斷。 應該也有不少吃瓜群眾挺好奇不同階段的懷孕情況是怎樣的? 不同階段B超結果 第18-21天 在豬受孕18天后,B超已經可以檢測到胚泡,但是由于此時的胚泡形態較小,檢測時不容易被發現,需要操作員消耗大量時間來尋找。 母豬早期孕檢技巧: 1.母豬配種后18-21天; 2.測定時先找到膀胱暗區,小角度緩慢變換探頭探掃方向,在膀胱暗區前上方“亮帶”以上細致查找疑似的黑洞。 第21-35天 22-25天的胚胎很容易發現,此時將探頭放在檢測“三角區中”,只要位置正確立刻能發現孕囊,此時孕囊主要顯示為一個個的“黑洞”。 測孕小技巧 1.18-25天期間胎囊極速增長 2.早期胎囊為圓形或橢圓形,1-2天之后多數變為不規則 第25-35天 25-35天,孕囊會放慢變大的速度,逐步從“黑洞”內可看到一些白色的亮光出現,是胎兒的超聲反射,又稱為胎體反射。 測孕小技巧 1.25天以后可見胎體反射,此后胎體占了胎囊的大部分 2.32天時,能顯示胎兒骨骼鈣化的強回聲 第35-65天 35-65天,孕囊和胎兒會一起長大,會更容易發現“黑洞”中有亮斑,系胎兒的超聲反射,也稱胎體反射,此時的圖形孕囊和胎體反射會比25-35天期間更大,更明顯。“黑洞”面積減少,是因為羊水減少。 測孕小技巧 1.35天時,呈現胎兒骨骼鈣化的強烈回聲,羊水面積減少 2.45天時,胎兒體腔分化 第65-100天 65-110天,胎兒已經長大,羊水減少。80天,胎兒的肋骨可清晰見到,從不同角度可呈現“虛線橢圓”亮斑,或者“弧形”亮斑。 測孕小技巧 1.80天時,胎兒脊柱清晰顯示 2.95天時,胎兒脊椎、胸骨及體腔分辨清晰 不過也有些小伙伴反映,母豬經常返情,到底是什么原因呢?妊娠成功又需要些什么條件呢? 發情周期約21天。在授精后18-24天發情的母豬(沒有懷孕)稱為規律性返情母豬。以此類推,在42天或者63天左右返情的母豬也稱為規律性返情母豬,返情高峰期分布在這些天。分散在其他天數的稱為非規律性返情母豬。 返情 返情/復配的原因 最常見的原因——授精管理差;催情不足;發情不充分/太短;授精時間選擇好;3周后返情;發情檢查不足;授精時間選擇不好;“發情周期”小于18天;3周和/或6周后返情 配種員:態度,工作壓力 管理系統:催情/發情檢查、輸精管理、數據記錄 營養:喂料量和飼養管理 欄舍:飼養密度、環境、光照、溫度、占用率 母豬:出生缺陷,發育狀況 繁殖與傳染病 種豬場,疾病很少成為繁殖問題的一個重要因素,傳染病通過以下兩套途徑殺死胚胎: 傳染病病毒損壞了胚胎、胎膜或者子宮,引起胚胎死于子宮中(如細小病毒、藍耳病毒); 發燒引起前列腺素的大量釋放,前列腺素會引起流產(如豬丹毒、流感、腸道病毒、經典豬瘟、肺或腸道傳染病引起的發燒)。因此在發燒期間要用退燒藥。如果多個母豬幾乎同時流產的話,要考慮傳染病可能是問題的源頭。 寄生蟲:由疥螨、豬虱或者皮膚狀況不好引起的皮炎會使母豬焦躁不安。這種焦躁不安也是造成母豬返情的一個原因。 如果懷疑是疾病問題(不吃料、精神萎靡、皮膚發白、糞便),一定要測量母豬的體溫。涂點潤滑劑或者唾液,將溫度計插入母豬肛門內至少5cm。讓溫度計的頂端緊貼著腸壁,糞便或者腸道內的空氣都會影響測定結果。健康妊娠母豬的體溫是38-39°C,超過39.5°C就是發燒了。 氣溫 熱應激會導致母豬流產、返情。 夏天,不要在一天中最熱的時候喂豬;在豬舍向陽面,用塑料薄膜、石灰或者乳化漆遮蔽窗戶;提供平和、安靜的環境;高溫時不搞預防接種;每天檢查配種舍、待配舍和妊娠舍的溫度。 9月中旬到10月底,會出現秋季繁殖力下降現象:后備母豬發情開始變慢,非規律性返情和規律性返情或流產越來越多。 秋天晝夜溫差最大,為預防秋季繁殖力下降,從7月底開始將光照時間增加到每天16個小時,同時要確保配種舍和待配舍晚上的溫度不要太低(<18°C),提前做好通風管理,避免出現賊風。提高斷奶后的和配種后的母豬的飼喂量。因為低溫條件下,更多的能量用于維持需要,從而使得用于繁殖的能量減少。 分析 少于18天的發情期從生理學角度上講是不可能的。 3周左右的規律性返情的責任在于配種員,此外妊娠早期會有胚胎死亡。對于36-48天或者56-68天出現的返情,3周時出現的返情被錯過的可能性極大。 25-36天非規律性返情的原因常常是胚胎死亡。在此期間未被發現的母豬過21天會再返情,即在49-56天返情。 妊娠成功的因素有哪些 配種員:催情、發情檢查、輸精時間、輸精技術 公豬:精液質量、精液儲存、精液貨架壽命、公豬差 母豬/胚胎:母豬體況不好、應激、疾病、光照(強度和時間) 再者,又有大伙們表示母豬流產也不少見,求解求解? 胚胎死亡發生的階段 排卵:卵子少或質量低(營養不良); 受精:授精不佳,原因:配種員或公豬; 胚胎死亡:胚胎可能死于各種原因,如疼痛或瘸、轉運應激、喂料站工作不正常、疥螨、為爭奪統治地位而打斗、環境不良、能量負平衡; 胎兒死亡(妊娠35天以后):子宮內空間不足(胎兒太多)或者死于發燒/疾病(不常見)。 胚胎存活的關鍵 在妊娠35天之前保持平和、安靜是必不可少的,因為此前胚胎對子宮內環境變化還非常敏感。從妊娠后第12天到第18天,胚胎發出雌激素信號,所以黃體完整保留,妊娠繼續。骨骼的形成于妊娠后第30天。 來源:溫氏養豬公開課 |




